Ultrasound is a comfortable, compression-free way to screen breast tissue and the underarm area for abnormalities. If you have breast implants, the same visit can also include an implant integrity scan to look for common imaging signs of rupture or leak, like a folded shell, free silicone, and other irregularities.
Schedule a breast ultrasound screening to check for implant rupture or leaks, plus a scan of your breast tissue.
Ultrasound can show common imaging signs tied to rupture/leak—like a collapsed/folded shell, free silicone, and other irregularities.
FDA-recommended timing: first ultrasound 5–6 years after surgery, then every 2–3 years after that for silicone gel-filled implants
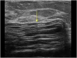
During your appointment, a probe glides over both breasts and the axilla area, without compression or discomfort.
When combined with mammography, breast ultrasound has been shown to increase early cancer detection rates up to 96% for women with dense breasts.
In studies, ultrasound showed ~90.9% sensitivity and 100% specificity for silicone implant rupture detection
Eliminating barriers to breast screenings is our mission. No prescription or referral from a doctor is required.
Many breast changes develop quietly. Ultrasound helps screen breast tissue and the underarm region, even if you don’t feel symptoms. If you have implants, ultrasound can also evaluate implant integrity—because some ruptures (especially silicone) can be “silent.”
Breast ultrasound looks for changes in the implant shell and where silicone is (or isn’t) contained.
1) Intracapsular rupture (shell tear, but the body’s fibrous capsule is still intact)
Silicone stays within the capsule, so the breast may look/feel normal (“silent rupture”).
What ultrasound can show:
Stepladder sign: The collapsed shell is seen within the gel; this is one of the most reliable ultrasound signs of intracapsular rupture.
Subcapsular line sign: a thin line parallel to the capsule representing a minimally collapsed shell/leak within the capsule.
Teardrop–type appearance: related to silicone tracking around a fold and subtle shell failure.
2) Extracapsular rupture (shell tear and capsule tear)
Silicone escapes beyond the capsule into breast tissue and/or lymph nodes.
What ultrasound can show:
Snowstorm sign: This is caused by free silicone droplets in tissue and is considered the most reliable sign of extracapsular silicone rupture.
Silicone in axillary lymph nodes can also create a snowstorm-like appearance.

A high-frequency probe is used to survey the implant systematically in multiple planes, tracking the shell interfaces and looking for internal shell fragments or lines.
No, this is a breast ultrasound screening that scans breast tissue and underarm regions. If you have implants, you can also include an implant integrity check during the same visit.
Yes! An implant integrity assessment is included in the breast ultrasound screening for $295 ($325 in AK, CA, HI, and NY). There’s no additional cost.
Ultrasound can evaluate implant structure and surrounding tissue. Saline ruptures may be more noticeable, but imaging can still help assess concerns and surrounding areas.
Ultrasound can complement mammograms, but it may not replace them for everyone. Screening recommendations depend on age, risk, breast density, and medical history.
We provide screening ultrasound imaging and share results to support next-step care. Diagnosis is made by your medical provider based on imaging and any recommended follow-up.
Become a HerScan CHAMPion and host an event at your location.